در این مطلب میخوانید:
نفخ کردن سگها، که به اصطلاح پزشکی به آن پیچ خوردگی معده گفته میشود، یکی از جدیترین و خطرناکترین وضعیتهایی است که میتواند برای این حیوانات به وجود آید. این عارضه در تمامی نژادها رخ میدهد. اما در سگهای با سینههای عمیق، مانند دالماسیها و ژرمن شپردها، شایعتر است و میتواند به سرعت به وضعیتی اورژانسی تبدیل شود. در این حالت، گسترش معده فشار زیادی به پردهٔ دیافراگم وارد کرده و باعث دشواری در تنفس میشود. در واقع، این پیچ و تاب میتواند منجر به درد شدید، شوک و در نهایت مرگ سریع سگ شود.
با توجه به خطرات جدی ناشی از نفخ، آگاهی از علائم اولیه، روشهای پیشگیری و اقدامات اورژانسی برای درمان آن، برای صاحبان سگها ضروری است. علائمی مانند بیقراری، استفراغ، و نفخ شکم باید بهسرعت شناسایی شوند تا بتوان در زمان مناسب اقدام کرد.
با دریافت اطلاعات صحیح و مشاوره با دامپزشکان، صاحبان سگها میتوانند در این شرایط به حفظ سلامت حیوان خود کمک کنند. همچنین، پت شاپها نه تنها مکانی برای خرید غذای سگ و لوازم جانبی سگها هستند، بلکه میتوانند به عنوان منابع معتبر برای مشاوره در مورد پیشگیری از مشکلات جدی مانند نفخ نیز عمل کنند.
در ادامه این مقاله، به بررسی روشهای درمان اورژانسی نفخ شکم سگ و راهکارهای پیشگیری آن خواهیم پرداخت و به شما کمک خواهیم کرد تا به عنوان یک صاحب مسئول، بتوانید بهترین مراقبتها را از حیوان خانگی خود بکنید.

علائم نفخ در سگها
مراحل نفخ و علائم و اقدامات موردنیاز
در زمان نفخ کردن سگ رفتاری همراه با اضطراب از خود نشان میدهد. ناله، قدم زدن، بلند شدن و دراز کشیدن، کشش بدن همراه با حالت کلافگی از جمله آنهاست. بعد از خوردن غذا شواهدی از متورم شدن شکم نمایان میشود. ترشح بزاق دهان بیشتر از حد معمول میگردد. سگ تلاش بی فایدهای برای استفراغ کردن دارد. تنفس حیوان سخت میشود و نسبت به غذا بی میل میگردد و به آرامی حرکت میکند. در شرایط حاد لثه به رنگ قرمز تیره، آبی، خاکستری یا سفید تغییر رنگ پیدا میکند. ضربان قلب شدید و نبض ضعیف شده و سبب مرگ سگ میگردد.
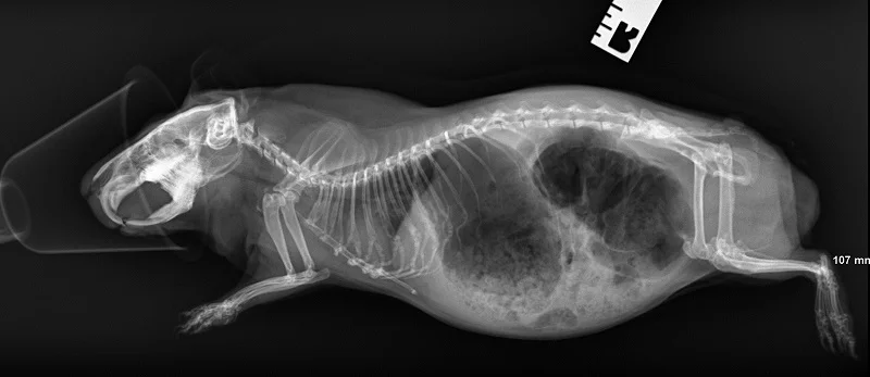
برای نجات سگ از نفخ کردن شما باید خیلی سریع وارد عمل شوید. حتی زمانی که شما به نفخ سگ خود شک دارید، باید بلافاصله سگ را به نزدیکترین کلنیک دامپزشکی انتقال دهید. در زمان ورود سریعاً علت مراجعه را ذکر کنید تا در ابتدا از حیوان عکس برداری با اشعهٔ X صورت گیرد. زیرا با عکس برداری نفخ حیوان مشخص میگردد.

معاینه سگ برای درمان نفخ
تعیین فاز نفخ در سگ
- معاینه رنگ لثه
- چک کردن ضربان قلب و تعداد نبض
- توجه به میزان اتساع شکم
پیشنهاد مطالعه: همه چیز درباره مسمومیت غذایی سگها + راههای درمان
معاینه رنگ لثه
لثهٔ سگ در حالت طبیعی صورتی رنگ یا قرمز کمرنگ است و زمانی که با انگشت لثه را چند لحظه به صورت مداوم کمی فشار دهید پس از برداشتن انگشت، رنگ لثه سریعاً باز میگردد. اگر لثه سگ به رنگ قرمز تیره، خاکستری، آبی و سفید باشد زمانی که شما لثه را تحت فشار قرار میدهید، رنگ بسیار کند بر میگردد و این نشان از وضعیت خطرناک نفخ است و شما باید بلافاصله کمکهای اولیه را آغاز کنید. اگر بعد از فشار لثه رنگ آن برنگشت و سفید ماند یعنی سگ شما در شرایط اورژانسی (فاز 3) قرار دارد و خطر مرگ برای حیوان بسیار بالا است.
فاز 1
علائم:
- سگ منزوی میشود، رفتارهای حیوان همراه با بی قراری است، فرآیند له له زدن و ترشح بزاق آغاز میگردد.
- هر 10 تا 20 دقیقه سگ برای استفراغ کردن تلاش بیهوده میکند.
- شکم شروع به بزرگ شدن میکند.
فاز 2
علائم:
- در این زمان سگ بسیار بی قرار شده و ناله میکند. فرایند له له زدن مداوم میگردد.
- در 2 تا 3 دقیقه تلاش بی نتیجه برای استفراغ صورت میگیرد.
- لثهها تغییر رنگ پیدا میکنند.
- ضربان قلب بالا میرود (80 تا 100 BPM)
- شکم حیوان بزرگ و محکم میشود و زمانی که با دست به آن ضربه بزنید صدای طبل میدهد.
فاز 3
علائم:
- لثههای سگ به رنگ سفید یا آبی تغییر رنگ پیدا میکند.
- سگ قادر به ایستادن نیست و در صورت راه رفتن، پاها بسیار متزلزل میباشند.
- شکم بسیار بزرگ و محکم میگردد.
- ضربان قلب شدیداً بالا میرود (100 BPM یا بیشتر). نبض بسیار ضعیف میگردد.

Stomach Bloat in Dogs
نبض و ضربان قلب سگ در زمان نفخ
اگر گوشی پزشکی در دسترس نباشد با استفاده از گوش، چشم و حس لامسه نیز میتوانید ضربان قلب را مورد بررسی قرار دهید. اما با خرید یک گوشی پزشکی و اضافه کردن آن به جعبهٔ کمکهای اولیه میتوان به آسانی و با دقت بالاتری ضربان قلب سگ را شنید و تعداد نبض آنرا کنترل کرد.
قبل از بررسی ضربان قلب باید از محل دقیق گرفتن نبض در بدن سگ آگاهی داشت. بهترین منطقه جهت گرفتن ضربان قلب در قسمت چپ قفسهٔ سینه، پشت آرنج، مابین دندههای 4 و 5 روی قلب است. دو انگشت دست راست خود را روی قلب قرار میدهید با استفاده از ساعت یا کرونومتری که در دست چپ خود دارید تعداد ضربان را در 10 ثانیه ثبت میکنید و عدد بدست آمده را در عدد 6 ضرب میکنید و حاصل آن میزان ضربان قلب در دقیقه میباشد که با علامت اختصاری BPM ) Beats Per Minute = ضربه در دقیقه) مشخص میگردد. (72=6*12)
برای بدست آورن ضربان طبیعی سگ خود، این عمل را باید یکبار زمانی که حیوان در حالت آرامش و استراحت قرار دارد انجام دهید و یکبار نیز بعد از انجام فعالیت بدنی انجام دهید. ضربان قلب طبیعی در نژادهای بزرگ بین 60 تا 80 ضربه در دقیقه است. بهترین منطقه برای گرفتن نبض سگ، سرخرگ رانی است. برای این منظور دو انگشت اول را با کمی فشار بر روی قسمت داخلی پای عقب درست در زیر جایی که جا به بدن متصل است قرار میدهید. شما میتوانید ساختار طناب مانند که شریان فمورال نامیده میشود را احساس کنید. تعداد دفعات احساس پالس در 10 ثانیه را در عدد 6 ضرب میکنید. دقیقاً مانند محاسبهٔ ضربان قلب صورت میگیرد. همچنین باید به میزان قدرت هر پالس نیز توجه داشته باشید.
پیشنهاد مطالعه: بررسی روش های عقیم کردن سگ ماده و بهترین روش عقیم سازی سگ ها
اگر هر یک از علائم نفخ را مشاهده کردیم چه کنیم؟
- ابتدا تلاش کنید فاز نفخ را تشخیص دهید.
- سریعاً با دامپزشک تماس بگیرید و در مورد علائمی که مشاهده میکنید از وی راهنمایی بخواهید.
- اگر متوجه شدید سگ شما در فاز 1 نفخ قرار دارد بدانید که 30 دقیقه زمان دارید تا حیوان را به کلینیک دامپزشکی انتقال دهید. از انجام کمکهای اولیه جدا خودداری فرمایید و اجازه دهید تا دامپزشک مستقیماً خود وارد عمل گردد.
- اگر به این نتیجه رسیدید که سگ شما در فاز 2 نفخ قرار دارد و نمیتوانید حیوان را تا 10 دقیقهٔ دیگر به کلینیک دامپزشکی انتقال دهید، باید کمکهای اولیه را با قرار دادن لوله در معدهٔ سگ آغاز کرده تا گاز معده تخلیه گردد و سپس سگ را به دامپزشکی منتقل کنید.
- اگر سگ شما در فاز 3 نفخ قرار دارد و به دامپزشک در طی 10 دقیقه دسترسی ندارید باید سریعاً کمکهای اولیه را با ترو کار زدن آغاز کنید تا فشار گاز معده از بین برود. البته در این زمان احتمال مرگ حیوان بسیار زیاد است.
شاید برایتان جالب باشد بدانید: علت سنگ خوردن سگ ها و راههای جلوگیری از آن
لوازم مورد نیاز برای جلوگیری از نفخ سگ ها
- گوشی پزشکی
- رول نوارچسب
- لولهٔ معده به قطرهای مختلف و به اندازهٔ 5/2_2 متر
- سر سرنگ شمارهٔ 14
- ژل K.Y. (ژل بی حسی)
- چند گاز یا حوله برای جذب مایعات دفعی
- این لوازم در هر محیطی که از سگ نگهداری میکنید، باید به تعداد سگها در دسترس باشد.

لوازم درمان نفخ سگها
کمکهای اولیه برای درمان نفخ در سگ ها
- قبل از انجام هر کاری باید هر لولهٔ معده را قبل از وارد کردن به دهان سگ متناسب با طول بدن سگ خود اندازه گیری کرده و علامت گذاری کنید.
- رول نوار چسب را که متناسب با دهان سگ خود از قبل انتخاب کردهاید را در دهان سگ، در پشت دندانهای نیش قرار میدهید.
- انتهای لولهٔ معده را با ژل بی حسی چرب کنید (مراقب باشید که ژل وارد لولهٔ معده نشود و مسیر آنرا مسدود نکند).
- با دقت لوله را از طریق سوراخ رول نوار چسب وارد دهان سگ کنید (سگ در این زمان باید در حالت ایستاده باشد). هنگامی که لوله وارد گلوی سگ میشود ممکن است حیوان از خود مقاومت نشان دهد. با کمی صبر سگ خود شروع به بلعیدن لوله خواهد کرد. به آرامی لوله را عمیقتر به داخل گلو هدایت کنید تا به مری وارد شود.
- هنگامی که لوله وارد مری شد به آرامی در آن بدمید. این عمل باعث میشود مسیر مری باز شده و اجازه میدهد لوله راحتتر به سمت معده حرکت کند.
- ممکن است لوله در زمان رسیدن به معده به دلیل اسپاسم عضلات دریچهٔ معده و یا پیچش معده به سختی حرکت کند. اگر با این حالت روبرو شدید به شدت در لوله بدمید و لوله را در جهت حرکت عقربهٔ ساعت به آرامی بچرخانید. اگر لوله وارد معده نشد همچنان در آن بدمید و با دقت لوله را به سمت عقب و جلو حرکت دهید.
- اگر لوله خیلی راحت و سریع از مری به سمت معده حرکت کرد، شما باید احتیاط کنید. زیرا احتمال اینکه دیوارهٔ معده سوراخ شود بسیار زیاد است. اگر بعد از 5 دقیقه تلاش در انتقال لوله به معده ناموفق بودید احتمالاً ورود لوله به معده امکان پذیر نیست.
- بعد از ورود لوله به معده بلافاصله لوله را از دهان خود جدا کنید. زیرا در این زمان گاز سریعاً خارج خواهد شد و مایعات نیز با آن از لوله تخلیه میشوند.
- پس از توقف خروج گاز و مایعات از طریق لوله، شما باید محتویات باقی مانده در معده را با وارد کردن فشار از شکم خارج کنید. زیرا وجود این محتویات میتوانی بعد از مدت کوتاهی دوباره سبب نفخ شود. برای خارج کردن محتویات معده، سگ را در حالت ایستاده قرار داده، پشت سگ قرار گرفته دست خود را محکم دور شکم سگ قفل کرده و از سمت پایین به سمت سینه تکان میدهید. تداوم این عمل به مدت 5 تا 10 دقیقه باعث خروج کامل محتویات معده میگردد.
- انتهای لوله را با انگشت شست بپوشانید. با دقت لوله را به آرامی از دهان سگ خارج کرده و سپس سگ را سریعاً به دامپزشکی انتقال دهید.
پیشنهاد مطالعه: آیا خوردن یخ توسط سگ برای او مضر است؟
روش تروکار زدن
دفع سریع فشار بدون اعمال آرام بخشی مزیت این روش است.
- سگ را از پهلوی راست بر روی زمین میخوابانید. محل معده را بر روی سمت چپ شکم سگ در زیر دندهها مشخص میکنید.
- موهای این ناحیه را تراشیده و استریل میکنید.
- سر سوزن شمارهٔ 14 یا کاتتر کوتاه شمارهٔ 20 خیلی سریع و تند وارد معده میکنید. در این زمان صدای خارج شدن گاز از سوراخ ایجاد شده قابل شنیدن است. جهت اطمینان از وارد شدن سوزن به معده میتوانید با سرگ محتویات را آسپیره کنید. (مواد را به داخل سرنگ بکشید.)
- به آرامی شکم را فشار دهید، سپس سوزن را از بدن سگ خارج کرده و سریعاً به دامپزشک مراجعه کنید. در این روش نگران صدمهٔ وارده بر سگ و درد ناشی از سوزن نباشید زیرا در حالت نفج سگ خود درد شدیدی را از نفخ و پیچش معده تحمل میکند و از سوزن تزریق وارد شده بر بدن هیچ دردی احساس نمیکند.

چطور نفخ سگ را درمان کنیم؟
نتیجهگیری
نفخ کردن سگها یک وضعیت اورژانسی و خطرناک است که میتواند به سرعت به مشکلات جدی و حتی مرگ منجر شود. شناخت علائم اولیه، پیشگیری و انجام اقدامات فوری میتواند تفاوت زیادی در نجات زندگی حیوان خانگی شما ایجاد کند. صاحبان سگها باید به دقت به رفتار و وضعیت سلامت سگهای خود توجه کنند و در صورت مشاهده هرگونه علامت مشکوک، به سرعت اقدام کنند.
با توجه به خطرات ناشی از نفخ، توصیه میشود که بهطور منظم با دامپزشک خود مشورت کنید و اطلاعات خود را بهروز نگه دارید. با اتخاذ تدابیر پیشگیرانه و استفاده از منابع معتبر مانند یک پت شاپ سگ، میتوانید به سلامت سگ خود کمک کنید و از بروز این مشکل خطرناک جلوگیری کنید.
پت خرید را دنبال کنید :
ب سگم که دوماهه هست نون تست شده دادم یکم نفخ کرده مرغ دادمش بالا اورد ولی میل زیادی ب غذا داره شیطونی میکنه مشکلی داره نفخ کرده